backup og meta
ads sign iconQuảng cáo

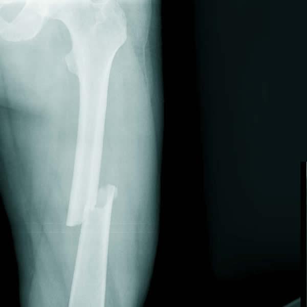
Gãy xương đùi

Tìm hiểu chungTriệu chứng và dấu hiệu nhận biếtNguyên nhânChẩn đoán và điều trịChế độ sinh hoạt phù hợp

Mặc dù là đoạn xương dài và chắc nhất cơ thể nhưng xương đùi vẫn có khả năng bị gãy. Nguyên nhân nào có thể gây nên vấn đề này? Đâu là cách điều trị hiệu quả? Gãy xương đùi bao lâu thì lành? Hãy cùng Hello Bacsi theo dõi các thông tin dưới đây để tìm ra lời giải đáp nhé!

Gãy xương đùi

Tìm hiểu chung

Gãy xương đùi là gì?

gãy xương đùi kín và hở

Xương đùi là xương dài và chắc, khỏe nhất trong cơ thể. Tuy nhiên, đoạn xương này vẫn có khả năng bị gãy nếu trực tiếp chịu tác động từ một lực lớn.

Tùy theo vị trí và mô hình gãy xương cũng như tình trạng thương tổn của các mô mềm (da, cơ, dây chằng…) xung quanh, gãy xương đùi được phân loại thành nhiều nhóm gồm:

  • Gãy xương ngang (vết gãy xuyên qua trục xương đùi)
  • Gãy xương xiên (vết gãy chạy dọc theo trục xương)
  • Gãy xương xoắn ốc (đường đứt gãy bao quanh trục xương)
  • Gãy xương nhiều mảnh (số lượng mảnh xương gãy được tìm thấy nhiều hơn ba)
  • Gãy xương kín (da còn nguyên vẹn)
  • Gãy xương hở (mảnh xương gãy chọc thủng qua da)

Tính chỉ số BMI - Chỉ số khối cơ thể

health-tool-icon

tuổi

Bạn quan tâm đến điều trị, hỗ trợ giảm cân không?

Bạn có biết về 2 loại thuốc GIP và GLP-1?

*Là nhóm thuốc mới có hiệu quả mạnh mẽ trong điều trị tăng cần và tiểu đường tuýp 2.

Nhận tư vấn giảm cân hiệu quả: Cập nhật phương pháp điều trị và hỗ trợ từ chuyên gia qua email.

Triệu chứng và dấu hiệu nhận biết

Những dấu hiệu và triệu chứng gãy xương đùi là gì?

Xương bị gãy thường gây đau nghiêm trọng ngay lập tức. Bạn không thể đứng bên chân bị thương. Chân có thể bị biến dạng, co ngắn hơn chân kia và không còn thẳng nữa. Hãy gọi cho bác sĩ ngay lập tức khi bạn có các triệu chứng gãy xương đùi.

Bạn có thể gặp các triệu chứng khác không được đề cập. Nếu bạn có bất kỳ thắc mắc nào về các dấu hiệu bệnh, hãy tham khảo ý kiến của các chuyên gia.

Nguyên nhân

Nguyên nhân nào gây ra gãy xương đùi?

Gãy thân xương đùi ở người trẻ thường do một số loại va chạm rất mạnh. Nguyên nhân phổ biến nhất của gãy xương đùi là tai nạn xe hay rơi từ trên cao xuống, vết thương do đạn bắn.

Một sự cố với lực nhẹ hơn như ngã từ tư thế đứng có thể gây ra rạn vỡ xương đùi ở người lớn tuổi bị yếu xương.

Chẩn đoán và điều trị

Những thông tin được cung cấp không thể thay thế cho lời khuyên của các chuyên viên y tế. Hãy luôn tham khảo ý kiến bác sĩ.

Những kỹ thuật y tế nào dùng để chẩn đoán gãy xương đùi?

gãy xương đùi bao lâu thì lành

Trước tiên, bác sĩ sẽ đặt một số câu hỏi về bối cảnh chấn thương cũng như bệnh sử của người bệnh, chẳng hạn như:

  • Quá trình chân bị thương
  • Bệnh nền (cao huyết áp, tiểu đường, hen suyễn hoặc dị ứng…)
  • Những loại thuốc bạn đang dùng

Tiếp theo, các chuyên gia sẽ tiến hành thăm khám lâm sàng để kiểm tra và đánh giá các dấu hiệu bất thường (đùi hoặc chân biến dạng, nứt da, các vết bầm tím hoặc mảnh xương xuyên thủng qua da…). Sau đó, người bệnh có thể làm thêm một số thủ thuật xét nghiệm hình ảnh như chụp CT hoặc chụp X-quang.

Dựa vào các kết quả thăm khám và xét nghiệm, bác sĩ sẽ đưa ra kết luận chẩn đoán cuối cùng cũng như hướng điều trị hiệu quả, phù hợp.

Những phương pháp nào dùng để điều trị gãy xương đùi?

Hiện nay, bạn có nhiều lựa chọn trong việc điều trị gãy xương ở đùi. Trong đó, phổ biến nhất là:

  • Điều trị bảo tồn: gồm nắn bó bột hoặc kéo liên tục, chủ yếu dành cho những trường hợp như:

  • Người cao tuổi
  • Trẻ nhỏ dưới 12 tuổi
  • Nứt, rạn xương hoặc gãy xương kín
  • Người bệnh không đạt tiêu chuẩn phẫu thuật (bệnh nền, sốc…)
  • Điều trị phẫu thuật: thường dành cho các trường hợp:

  • Người trưởng thành và trẻ lớn hơn 12 tuổi
  • Điều trị bảo tồn không đem lại hiệu quả như mong đợi
  • Các mảnh xương gãy dịch chuyển quá nhiều, không đúng vị trí
  • Gãy xương đùi bao lâu thì lành?

    Thông thường, thời gian để xương hồi phục là từ 3-6 tháng. Tuy nhiên, các chi dưới có thể mất thời gian lâu hơn do phải chịu trọng lượng của cơ thể. Tùy thuộc vào vị trí gãy xương mà thời gian bình phục sẽ khác nhau. Tốt nhất bạn nên tái khám thường xuyên để biết tiến độ phục hồi của xương và biết khi nào mình có thể tập đi.

    Chế độ sinh hoạt phù hợp

    Gãy xương đùi nên ăn gì để mau lành?gãy xương đùi nên ăn gì

    Chế độ dinh dưỡng đóng vai trò quan trọng để giúp xương nhanh hồi phục. Bạn nên thiết kế chế độ ăn có đầy đủ chất đạm, chất béo và bột đường. Bên cạnh đó, bạn cũng cần bổ sung nhiều vi chất cần thiết cho quá trình hình thành xương như: kẽm, canxi, magie, axit folic, vitamin B12…

    • Canxi có trong cải bắp, trứng, sữa, hải sản…
    • Magie có trong chuối, rau xanh, cá trích, cá thu, sản phẩm từ sữa…
    • Kẽm có trong cá biển, hải sản, hạt hướng dương, hạt bí ngô, ngũ cốc…
    • Axit folic có trong chuối, đậu, rau xanh, cam quýt.

    Nếu bạn có bất kỳ câu hỏi nào, hãy tham khảo ý kiến bác sĩ để được tư vấn phương pháp hỗ trợ điều trị gãy xương đùi tốt nhất nhé!

    Closing message display

    Hello Bac Si is committed to supporting your health journey by providing reliable, evidence-based health information. Please note:

    • This content is for reference purposes only and does not replace professional medical advice.

    • Individual health conditions may vary, so we strongly encourage consulting a qualified healthcare professional for personalized guidance.

    • Learn more about our mission and medical review process at Hello Bac Si

    Hello Bac Si

    1. This content is for reference purposes only and does not replace professional medical advice.

    2. Individual health conditions may vary, so we strongly encourage consulting a qualified healthcare professional for personalized guidance.

    Miễn trừ trách nhiệm

    Các bài viết của Hello Bacsi chỉ có tính chất tham khảo, không thay thế cho việc chẩn đoán hoặc điều trị y khoa.

    Femur shaft fractures.
    http://orthoinfo.aaos.org/topic.cfm?topic=a00521.
    Ngày truy cập 24/06/2019

    Femur shaft fractures.
    https://www.orthobullets.com/trauma/1040/femoral-shaft-fractures.
    Ngày truy cập 24/06/2019

    Femoral Shaft Fractures https://www.ncbi.nlm.nih.gov/books/NBK556057/ Ngày truy cập 27/5/2022

    Femur Shaft Fracture Treatment https://www.bmc.org/trauma-and-fracture-surgery/femur-shaft/treatment Ngày truy cập 27/5/2022

    Femoral Shaft Emergency https://www.rch.org.au/clinicalguide/guideline_index/fractures/femoral_shaft_emergency/ Ngày truy cập 27/5/2022

    Femoral Shaft Fractures https://www.sciencedirect.com/topics/nursing-and-health-professions/femur-shaft-fracture Ngày truy cập 27/5/2022

    Phiên bản hiện tại

    27/05/2022

    Tác giả: Bác sĩ Đinh Thị Mai Hồng

    Cập nhật bởi: Vi Quỳnh


    Bài viết liên quan

    Gãy xương mác

    Gãy xương chày


    Tác giả:

    Bác sĩ Đinh Thị Mai Hồng

    Đa khoa · Bệnh viện Đại học Y dược Hà Nội


    Ngày cập nhật: 27/05/2022

    ad iconQuảng cáo

    Bài viết này có hữu ích với bạn?